
2021年2月23日,西安市人民医院(西安市第四医院)心脏泛血管病院成功完成航天院区两例冠状动脉内光学相干断层成像(OCT)检查,并在OCT指导下精准植入冠脉支架,填补了航天城院区心脏介入领域在该项检查上的空白。
同时,也标志着心脏泛血管病院冠心病中心的冠脉介入诊治水平又迈上了新的台阶,达到国内先进水平。
两位患者病情
患者刘某,66岁,胸闷、心悸1月。患者陈某,47岁,反复胸闷、胸痛2周。程康教授带领的冠心病中心团队评估两位患者病情后,建议行冠脉造影明确诊断,遂行造影提示多支冠脉病变。
刘某术前-前降支重度狭窄
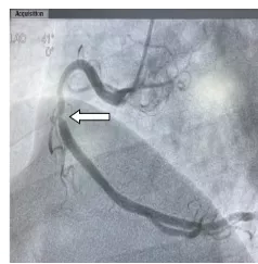
陈某术前-右冠重度狭窄
为了更精准了解管腔病变情况,经过由中国科学院科技服务网络计划重点项目自主研发的OCT检查后,发现刘某前降支中段狭窄处斑块负荷严重,斑块薄层纤维帽,存在脂质池,有随时发生破裂可能,管腔面积最小处仅为1.07mm2,提示血管严重狭窄。陈某右冠中段存在破裂斑块,与家属商议后,决定给予支架干预治疗。
OCT显示前降支中段重度狭窄
OCT显示右冠狭窄处斑块破裂
经充分预扩张处理后,在OCT指引下均成功植入药物洗脱支架,随后球囊后扩张后OCT评价,支架完全贴壁,未见支架远近端夹层。
刘某前降支术后
陈某右冠术后
西安市人民医院(西安市第四医院)航天城院区OCT技术的开展,标志着心脏泛血管病院向精准医疗又迈出了坚实的一步,为冠心病患者提供强有力影像指导及高质量的医疗服务。
关于OCT知识小贴士
光学相干断层成像(optical coherence tomography,OCT)技术是采用低相干的近红外光线,并对从组织反射回来的不同光学特征信号进行分析以获得组织图像。故OCT具有成像速度快和分辨率高等优势。
迄今为止,OCT是分辨率最高的血管内成像技术,其分辨率约为10-15μm,是血管内超声(IVUS)的10倍,能够清晰地分辨血管内组织,被誉为“体内的组织学显微镜”。
利用OCT可在支架术前,揭示冠脉斑块的形态及性质,区分钙化、纤维及脂质斑块,发现易损斑块,鉴别红、白血栓,精确选择支架尺寸;
支架术中,观察支架即时贴壁效果,发现急性血栓、内膜撕裂和斑块脱垂;支架术后,随访了解支架内皮修复,内膜增生,晚期血栓形成及生物可吸收支架的吸收进展情况。
心脏泛血管病院简介
心脏泛血管病院是依据国内外先进的整合医学理念创建的一个崭新学科,一期设置冠心病中心、结构性心脏病及重症中心、心电生理、起搏中心、周围血管病中心、心电功能及康复中心、高血压及心力衰竭7大中心,全面开展各种心脏及外周血管疾病的诊疗工作。
科室人员配置:高级职称5名,主治医师6人,住院医师7人,技师2人。其中博士3名,硕士9名,本科6名。国家级、省部级学会副主委、常委、理事多人。医护工作者来自西京医院和市内各大三甲医院的心内科、心外科、周围血管科和心电功能等学科。
病院配备有国内先进的血管相干断层成像系统OCT、血管内超声系统IVUS、血流储备分数监测系统FFR、血管旋磨系统、心衰危险分层诊断系统、准分子激光系统、三维心脏电生理标测系统、倾斜试验以及国内顶级的心脏康复设备。
专业特色:团队成员经验丰富,曾施行各类心血管手术10余万例,承担国家、省部级等课题数十项,在国内外杂志上发表论文数百篇,培养过上万名本科生、研究生。病院除开展各种常规心血管内外科手术外,还可以开展冠脉介入无植入技术、冠心病微搭桥、主动脉瓣介入置换、二尖瓣钳夹术、房颤-左心耳封堵一站式手术、左束支起搏、下肢动脉闭塞症减容开通术、高位套扎+硬化剂注射或射频治疗下肢静脉曲张、主动脉夹层腔内隔绝术等外周血管手术。