
肺上长了结节是不是就意味着自己得“早期肺癌”了?根据回顾性研究和文献分析,大多数结节为良性结节,但仍有5%左右的肺部小结节随着时间推移而发展为肺癌,因此提高良恶性结节的鉴别准确率,做到早发现、早治疗至关重要。
患者米某,男,47岁,常年在非洲工作,平日里身体状况良好、无吸烟饮酒习惯。2021年春节前回国后,于1月19日来到西安市人民医院(西安市第四医院)航天城院区体检,做胸部CT检查发现肺部有结节后就诊于肺科病院。
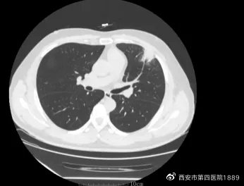
胸部CT平扫:右肺上叶后段胸膜下可见一微结节,直径约3mm;右肺中叶可见一实性结节影,大小约1.4cm×1.2cm
经医师询问,患者无发热、咳嗽咳痰、胸闷喘息、胸痛等呼吸系统症状;体格检查胸廓对称,呼吸频率正常,两肺触诊和听诊均阴性;血常规基本正常,肿瘤标志物未见明显异常。从胸部影像学(LDCT)来看,患者左肺上叶呈支气管周围分布,伴有晕征,考虑炎症可能性大,而右肺中叶病灶呈结节样,周围可见毛刺征和血管集束征,不能排除原发性肺部肿瘤可能。
参照肺结节指南诊疗思路,患者可以选择经皮肺穿刺活检术或经支气管镜肺活检术明确病理诊断,或者通过PET-CT检查临床评估结节的良恶性和全身评估并给予外科手术治疗。但前者是有创检查,患者需要住院明确诊断,并且接受穿刺带来的身体创伤和有可能并发的气胸、咯血、感染以及穿刺失败等不良反应;后者费用昂贵,需要注射造影剂,具有一定程度的辐射。
为了更好的了解病灶性质,需全方面观察结节形态、內部组织、血管关系等特点进行判断良恶性。通过CT图像后处理技术联合增强CT,得到病灶的多平面成像,进而从多个角度观察病灶特点,并观察病灶和血管的关系以及强化程度。
小提示
肺科病院肺癌多学科诊治中心联合影像科在肺结节与早期肺癌的诊治方面展开密切合作,通过CT、MRI等多种检查联合多学科会诊,显著提高肺结节与早期肺癌确诊率,为患者健康提供优质服务。
胸部增强ct三位重建,先后为矢状位及冠状位。
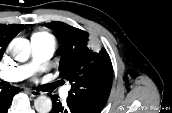
病灶增强图
通过多平面重建技术,先前右肺中叶在轴位呈现球星结节影,在矢状位及冠状位呈宽基底紧邻胸膜,未见明显胸膜增厚及牵拉,这是良性的表现。但是增强影像可见血管进入,需进一步观察病灶的内部情况。通过DWI(磁共振检查的一种方法)检查发现,患者双侧病灶ADC(抗体-药物结合物)呈高信号,证明该病灶为良性(炎症可能性大)。患者仅需口服莫西沙星1周,1月后复查胸部CT即可。
患者按医嘱治疗后于2月26日复查,胸部CT可见双肺病灶明显吸收
科普
DWI扫描是一种无创性扫描模式,能够检测活体组织水分子扩散运动,从分子水平反映器官、组织的病理生理情况。当内胞质减少、细胞器增多、细胞内胞核增大时,可促使细胞内水分子运动减慢;当肿瘤组织增殖旺盛,细胞胞外间隙减少、排列致密、数量增多时,可导致细胞外水分子运动受限。
而不同分化程度的肺部病变细胞组织周围间质、细胞密度、排列方式存在差异性,因此水分子的扩散能够将内部特征完全显示出来。
基于上述原理,DWI扫描更能够反映细胞内外水分子扩散运动,从而为良恶性病变判断提供依据。同时研究发现,ADC值可评价不同病理类型肺癌细胞增殖活性。
科室介绍
西安市人民医院肺科病院肺癌多学科(MDT)诊疗中心,依托于西京医院肺部小结节疑难会诊中心专家指导,联合呼吸、胸外、肿瘤、影像等各科专家力量,采用先进的诊疗技术如肺结节三维重建(CT)、DWI-MRI、PET-CT、基因诊断技术等进行综合评估,为肺结节患者制定最佳的、个体化、连续性治疗方案,以实现早期发现、准确诊断、及时处理和正确治疗的目的,减少不必要的检查。