科研教学
首页 > 科研教学 > 科研展示 > 正文

【新院区运行】治疗冠心病“有介入无植入”,不再使用支架!

2021-02-25

2月19日,西安市人民医院(西安市第四医院)航天城院区心脏泛血管病院首次采用国际、国内先进的介入无植入理念——药物球囊技术成功救治一位高难度冠脉完全闭塞合并分叉病变的冠心病患者。

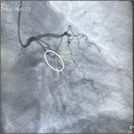
患者刘某,因反复胸闷、气短4年,加重1周入院治疗,考虑其为冠心病,在完善冠脉造影提示:心脏后面的旋支血管中段100%闭塞。

慢性完全闭塞性病变(CTO)的发生率占到全部冠心病介入治疗患者的10-20%,也是冠脉介入手术中最难处理的病变之一,手术难度大、花费多等,最终患者还可能不得不去外科搭桥,因此也被称为冠心病介入领域的“堡垒”之一。

刘某家属通过多方打听,得知西安市人民医院(西安市第四医院)心脏泛血管病院程康主任在CTO病变介入方面技术成熟、手段丰富,特前来就诊。

经过与家属沟通后,心脏泛血管病院冠心病中心团队马上开始了紧张地准备工作,通过使用微导管支撑、平行导丝、双腔微导管辅助技术,最终顺利打通了闭塞血管。但第二个难题随之而来,打通的血管处刚好存在一个较大的分叉病变,分支开口也有80%狭窄,如果要在分支也植入支架,有可能带来手术时间延长,支架数量过多,口服抗血小板药物多,远期预后不良,血栓发生率高等问题。冠心病中心团队经过讨论决定,采用分支药物球囊处理,主支支架Crossover技术,必要时进行斑块、血管嵴修饰或支架植入,最终顺利达成分支无植入,完成了手术。

术前

术后

西安市人民医院(西安市第四医院)心脏泛血管病院通过联合使用药物球囊及支架治疗,使支架数量显著减少,达到远期疗效等同于甚至超过药物支架的效果。

科普知识

冠脉介入无植入也就是不植入支架也可以达到治疗冠脉狭窄,恢复血运重建的目的,这一直是众多医生和患者的理想。药物涂层球囊(drug coated balloon, DCB)是心血管介入领域的一项创新性的技术。高亲脂性的紫杉醇加上高亲水性的碘普罗胺的混合基质负载在球囊上,球囊扩张时可将药物快速释放在血管内膜表面,进入血管局部组织,达到减少内膜炎症反应、抑制局部斑块增生的作用,药物球囊保留了血管生理状态,同时为患者后续治疗保留了机会,除此之外,药物球囊还有简化手术过程,缩短手术时间,减少射线暴露,减少造影剂用量,缩短抗血小板治疗时间,降低出血并发症等众多好处。

DCB的适应症不仅包括慢性闭塞性病变,而且对于不能使用支架植入治疗的小血管病变,对于操作复杂、再狭窄率高的复杂分叉病变,对于支架内再狭窄、年轻患者、出血风险高的患者,DCB都为我们提供了一个优化的治疗手段。DCB治疗有诸多优点,但仍然存在弹性回缩、冠脉夹层的风险,只有选择专业的介入团队通过专业的判断和操作,才能使其发挥到最佳疗效。

西安市人民医院(西安市第四医院)航天城院区首例药物球囊技术的顺利开展,彰显了心脏泛血管病院在复杂病变的诊疗上秉承国际化医疗理念和严谨求实的工作态度,利用前沿、优化的技术,立志为广大患者的健康而努力。

心脏泛血管病院简介

心脏泛血管病院是依据国内外先进的整合医学理念创建的一个崭新学科,一期设置冠心病中心、结构性心脏病及重症中心、心电生理、起搏中心、周围血管病中心、心电功能及康复中心、高血压及心力衰竭7大中心,全面开展各种心脏及外周血管疾病的诊疗工作。

科室人员配置:高级职称5名,主治医师6人,住院医师7人,技师2人。其中博士3名,硕士9名,本科6名。国家级、省部级学会副主委、常委、理事多人。医护工作者来自西京医院和市内各大三甲医院的心内科、心外科、周围血管科和心电功能等学科。

病院配备有国内先进的血管相干断层成像系统OCT、血管内超声系统IVUS、血流储备分数监测系统FFR、血管旋磨系统、心衰危险分层诊断系统、准分子激光系统、三维心脏电生理标测系统、倾斜试验以及国内顶级的心脏康复设备。

专业特色:团队成员经验丰富,曾施行各类心血管手术10余万例,承担国家、省部级等课题数十项,在国内外杂志上发表论文数百篇,培养过上万名本科生、研究生。病院除开展各种常规心血管内外科手术外,还可以开展冠脉介入无植入技术、冠心病微搭桥、主动脉瓣介入置换、二尖瓣钳夹术、房颤-左心耳封堵一站式手术、左束支起搏、下肢动脉闭塞症减容开通术、高位套扎+硬化剂注射或射频治疗下肢静脉曲张、主动脉夹层腔内隔绝术等外周血管手术。

专家简介

程康

医学博士、硕士生导师,毕业于第四军医大学,现任西安市人民医院(西安市第四医院)心脏泛血管病院院长

荣誉称号:2019年度卫生领域“西安之星”;首届“白求恩精神践行者-心内科优秀医师”称号。

社会任职:中国医促会理事;中国医促会难治性高血压与周围动脉病分会副秘书长;陕西省国际医学交流促进会胸痛专业委员会副主任委员;中国医促会血管疾病高血压分会青委会常务副主任委员

专业特长:冠心病、外周血管病、高血压、心力衰竭

作者: 编辑:dsyy 来源: